Advanced
Implant Dentistry

advanced implant dentistry

Sway: The Dental Implant Experts

At Sway Dental & Facial Esthetics in Cranford, NJ, dental implants are one of our core specialties. Board-certified periodontist and practice founder Dr. Justin Kang brings advanced surgical training and a meticulous, outcome-driven approach to every case.

We focus on minimally invasive solutions supported by advanced technology and supporting regenerative techniques like Bio PRF®. Every treatment is designed with long-term success, comfort, and natural esthetics in mind.

advanced implant dentistry

Sway: The Dental Implant Experts

At Sway Dental & Facial Esthetics in Cranford and West Caldwell, NJ, dental implants are one of our core specialties. Board-certified periodontist and practice founder Dr. Justin Kang brings advanced surgical training and a meticulous, outcome-driven approach to every case.

We focus on minimally invasive solutions supported by advanced technology and supporting regenerative techniques like Bio PRF®. Every treatment is designed with long-term success, comfort, and natural esthetics in mind.

book a Dental Implant Consultation
book A Consultation
Smiling man wearing a navy blue jacket with a Sway Dental logo on a light green background.Smiling man wearing a navy blue jacket with a Sway Dental logo on a light green background.
Wondering how to pick the right implant specialist?

We focus on minimally invasive solutions supported by advanced technology and supporting regenerative techniques like Bio PRF®. Every treatment is designed with long-term success, comfort, and natural esthetics in mind.

Smiling bald man with glasses wearing a white button-up shirt against a green background.Smiling bald man with glasses wearing a white button-up shirt against a green background.
What to consider for long-term
implant success

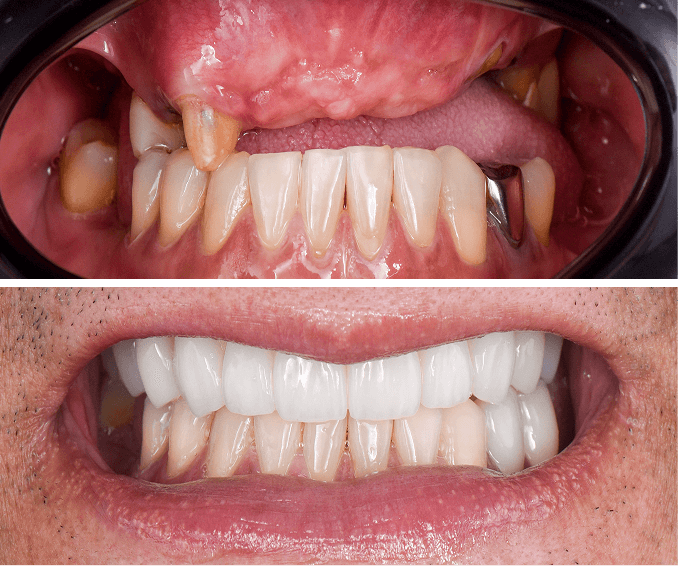
Implant Dentistry Services

From single implants to full-arch restoration, we’re here to provide thoughtful, personalized care from start to finish.

  • Dental Implants: Precision-placed single implants allow for optimal restoration and long-term stability.
  • All-On-X Full-Arch Restoration: Restore your entire smile with fixed, functional, beautiful results plus next day delivery and a truly custom fit.
  • Extractions & Bone Grafting: Gentle removal and regenerative support for future bone strength and implant success.
  • Sinus Lift Surgery: Make room for implants with regenerative techniques that ease recovery and minimize complications.
Dental implants
Precision-placed implants allow for optimal restoration and long-term stability.
All-On-X Full-Arch Restoration
Restore your entire smile with fixed, functional, beautiful results plus next day delivery and a truly custom fit.
Extractions and bone grafting
Gentle removal and regenerative support for future bone strength and implant success.
Sinus lift surgery
Make room for implants with regenerative techniques that ease recovery and minimize complications

Ready to explore dental implant options near you in West Caldwell or Cranford, NJ? From initial consultation to restored smile, we’re here to guide you through every step with expert care and clear communication. Contact us to schedule a consultation and find the right solution for your smile.

book a Dental Implant Consultation
book A Consultation
BOOK a Consultation
BOOK a Consultation

Dental Implant FAQs

How much do dental implants cost?
At Sway Dental, the cost of implant placement depends on the complexity of the case. Some implant centers offer deceptively low pricing that covers just the first step in this process, leaving patients surprised when the full procedure costs more. At Sway, we will give you a detailed breakdown of costs based on your specific needs before treatment begins.
Does dental insurance cover implants?
Some dental insurance plans offer partial coverage for dental implants or for the other components of implant care, like extractions, bone grafting, or crowns. At Sway Dental, our experienced team helps you understand your benefits and maximize any available coverage. We also offer flexible financing options such as Cherry, Care Credit, and Proceed to make expert-level implant care more accessible.
How long do dental implants last?
With proper care, dental implants can last decades or even a lifetime. Success depends on factors like surgical precision, bone quality, oral hygiene, and health habits. At Sway Dental, Dr. Kang’s use of regenerative techniques like BioCARE, minimally invasive surgery, and high-performance implants like Prama helps set the stage for long-term stability. Routine dental checkups and good daily care also go a long way in protecting your investment.
Are dental implants painful?
Most patients are surprised by how comfortable the process is, especially with Dr. Kang’s gentle techniques and biologically supportive approach. We use advanced local anesthetics, offer oral and IV sedation, and use techniques like photobiomodulation and Bio PRF to reduce inflammation and speed recovery. Discomfort is usually mild and manageable with over-the-counter pain relief. We’re always here to support you through every step of healing.

MORE TO EXPLORE